口のがん(口腔がん)のセルフチェック
口のがん(口腔がん)を知っていますか?
口腔がんは、舌や歯肉(歯ぐき)など口の中にできる「がん」で、男女ともに40歳代後半から増加し、高齢になるほど増加します。
口のがん(口腔がん)の危険因子は?
喫煙が最も大きな危険因子です。(本市の喫煙対策については、以下のリンクをご覧ください。)
そのほか、お酒の飲みすぎ、緑黄色野菜・果物の摂取不足、合わない入れ歯、口の中を不潔にしておくことなどです。
早期発見・早期治療が大切です!
口腔がんは早期に発見できれば治療できる病気です。発見が遅れることで、「がん」が進行して大がかりな治療が必要になり、食事や会話などの口の機能に深刻な障害が生じます。
こんな症状には注意!日頃からセルフチェックを心がけましょう!
次の症状があれば、早めに歯科医療機関へご相談ください。
- 口内炎が2週間以上治らない
- かんだ傷や抜歯した傷がなかなか治らない
- 原因不明の歯のぐらつき
- 入れ歯が痛みやはれで合わない
- 歯が浮く感じがする
- ただれ・しこり・腫れ・できもの・出血など
セルフチェックの方法

明るい光の下で鏡を使ってみましょう。
入れ歯は外しましょう。

1.口腔がんの約半数は舌にできます。
まず、舌を出してみましょう。まっすぐ前に出ますか?

2.つぎに舌を横に出します。
舌がんのほとんどが舌の横にできるので一番大事なチェックです。

3.反対側も見ます。
舌の付け根までしっかり出して見ましょう。

4.次は歯肉(歯ぐき)、口の粘膜です。
しこりや出血はないですか?

5.人差し指で唇を開いて、上と下の歯肉(歯ぐき)、口の粘膜を見ましょう。

6.そのまま大きく開いて頬を見ます。

7.下の歯の裏側も見ます。

8.舌を上に挙げて裏側を見ます。見落としやすい場所です。
口のがん(口腔がん)の症例
次の症状があれば、早めに歯科医療機関へご相談ください。
前がん病変

舌白板症

歯肉(歯ぐき)の白板症

舌の紅板白板症
白い部分と赤い部分があります。

口蓋の紅板症(上あごの紅板症)
真っ赤な色をしています。
口腔がん

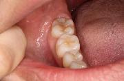
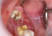
舌がん(舌のがん)

歯肉頬部がん(頬のがん)

上顎歯肉がん(上あごの歯ぐきのがん)

舌根部がん(舌後方のがん)

下顎歯肉がん(下あごの歯ぐきのがん)
愛知学院大学顎口腔外科学講座・顎顔面外科学講座監修
このページに関するお問い合わせ
健康福祉局 健康部 健康増進課 推進担当
電話番号:052-972-2637 ファクス番号:052-972-4152
Eメール:a2637@kenkofukushi.city.nagoya.lg.jp
健康福祉局 健康部 健康増進課 推進担当へのお問い合わせ